УЗИ почек и мочевого пузыря в Пятигорске
УЗИ почек, УЗИ мочевого пузыря в Пятигорске БЕЗ ВЫХОДНЫХ в Клинике мужского здоровья.
УЗИ почек и мочевого пузыря КОМПЛЕКСНО и по каждому органу ОТДЕЛЬНО.
Сделать УЗИ почек, УЗИ мочевого пузыря в Пятигорске и получить консультацию уролога в ВОСКРЕСЕНЬЕ, субботу, в ПРАЗДНИКИ и будни, ВЕЧЕРОМ можно Клинике мужского здоровья.
УЗИ почек показывает правильность расположения почек, движение почек согласно фазам дыхания, структуру почек и наличие гемангиомы, кисты, опухолевых образований, расширение чашечно-лоханочной системы, наличие «камней», особенности кровоснабжения и состояния сосудов почек.
Сделать УЗИ почек, УЗИ мочевого пузыря и другие виды УЗИ в Клинике мужского здоровья
УЗИ почек и мочевого пузыря мы выполняем на ультразвуковых аппаратах «Zonare» (США), «Acuson» (США).
Обратите внимание на совершенное качество фотографий, свидетельствующих об экспертном классе аппаратов УЗИ!
Использование ультразвуковых аппаратов экспертного класса с режимами энергетического допплера и цветового ДОППЛЕРа позволяет врачам Курортной клиники мужского здоровья выявлять патологические изменения почек и мочевого пузыря на ранних этапах.
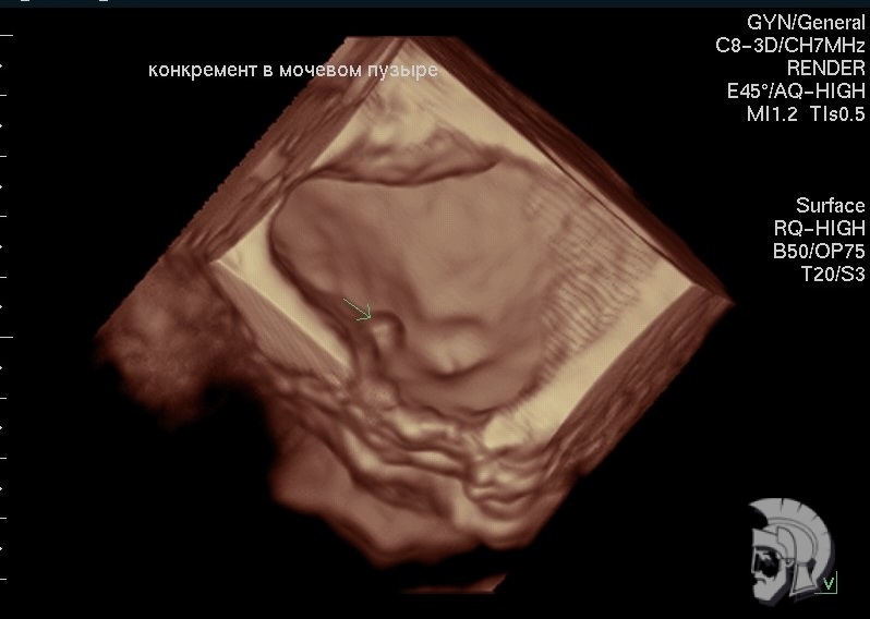
3D-фото мочевого пузыря.
«Камень» 4.5 мм в диаметре в мочевом пузыре мужчины 50 лет. «Камень» указан стрелкой |
 |
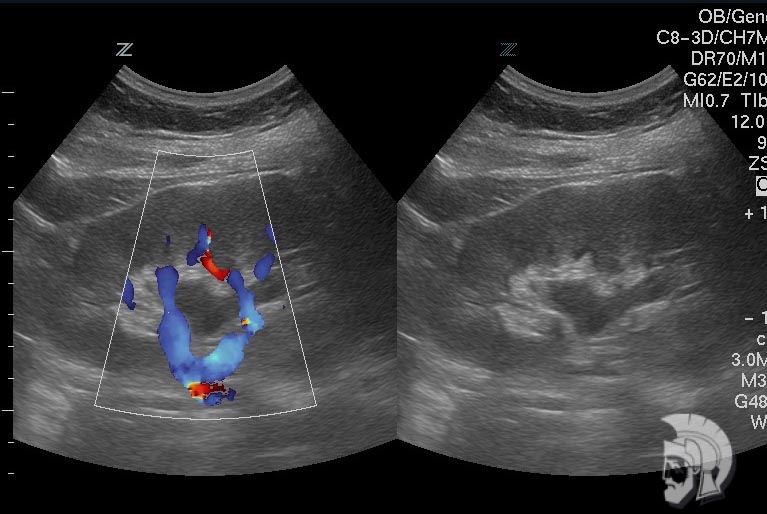
Фото почки.
Умеренное расширение почечной лоханки левой почки у подростка 16 лет с хроническим левосторонним пиелонефритом. Исследование в режиме цветового допплеровского картирования |
 |
Возможность архивирования результатов УЗИ почек, УЗИ мочевого пузыря на различных электронных носителях информации позволяет СОХРАНИТЬ объективные данные для врачей и электронной истории болезни.
Врачи УЗИ Курортной клиники мужского здоровья имеют длительный ОПЫТ работы, несколько специализаций и способны всесторонне оценить ситуацию.
|
Нам нравится диагностическая работа! Осваивая НОВЫЕ МЕТОДИКИ, мы реализуем наше стремление к безопасности.
|
В Курортной клинике мужского здоровья с целью соответствия методик ультразвуковых исследований диагностическому уровню мировых лидеров ультразвуковой диагностики каждые 3-6 месяцев производится АПГРЕЙД аппаратов УЗИ.
Подготовка к УЗИ почек и мочевого пузыря:
УЗИ почек и мочевого пузыря необходимо проводить на ПОЛНЫЙ мочевой пузырь.
За 20-25 минут до УЗИ почек и мочевого пузыря или отдельно УЗИ почек, УЗИ мочевого пузыря НЕОБХОДИМО выпить 300-400 мл (2 стакана) несладкой воды или некрепкого чая, кофе.
УЗИ почек и мочевого пузыря является высокоинформативным и безопасным методом диагностики.
При проведении УЗИ почек и мочевого пузыря рентгеновское облучение полностью отсутствует.
ПОЭТОМУ узи почек и мочевого пузыря применяют для динамического контроля при плановом ежегодном осмотре, на фоне лечения и в послеоперационном периоде.
УЗИ почек, УЗИ мочевого пузыря и других органов в Курортной клинике мужского здоровья можно выполнить по направлению врача и по желанию пациента.
Возможно ПОЛНОЕ ультразвуковое исследование организма за ОДНО посещение, максимально комфортно.
Курортная клиника мужского здоровья работает в системе добровольного медицинского страхования и по платным услугам.
|
Сделать УЗИ почек и мочевого пузыря в Пятигорске:
понедельник-пятница с 8:00 до 20:00, суббота, воскресенье, праздничные дни с 8:00 до 17:00.
|
Прием по предварительной записи. Мы пунктуальны!
Предварительная запись по телефону 8(800) 500-52-74 (звонок бесплатный) или +7 (928) 022-05-32 (для зарубежных звонков).
|
Задать ВОПРОС ОНЛАЙН о УЗИ почек можно по адресу
Данный адрес e-mail защищен от спам-ботов, Вам необходимо включить Javascript для его просмотра.
.
ЗАПИСЬ ОНЛАЙН на УЗИ почек и мочевого пузыря здесь.
ЗАПИСЬ по интернету на УЗИ почек и мочевого пузыря здесь.
Купить КУРСОВКУ по телефону +7 (928) 022-05-32 или здесь.
|
Вы можете РАССЧИТЫВАТЬ на наш всемерный отклик и ПОДДЕРЖКУ при возникновении любых пожеланий и сомнений.
Фото Клиники
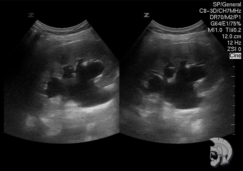
Фото почки.
Выраженная пиелоэктазия. Расширение чашечно-лоханочной системы левой почки мужчины 24 лет |
 |
| Фото здоровой почки мужчины 35 лет |
 |
| Фото правой почки мужчины 39 лет с хроническим пиелонефритом и стажем заболевания 10 лет |
 |
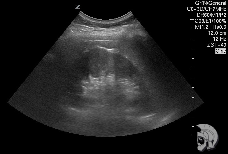
| Фото мочевого пузыря. Кристаллы солей в мочевом пузыре |
 |
Вопросы и ответы
Вопрос: Какая подготовка к УЗИ почек? В.Г., г. Ессентуки.
Ответ: Подготовка к УЗИ почек ребенку и взрослому заключается в приеме 300-400 мл (2 стаканов) несладкой воды или некрепкого чая, кофе за 30 минут до выполнения УЗИ почек.
Вопрос: Сделать УЗИ почек можно без наполнения мочевого пузыря? А.К., г. Пятигорск.
Ответ: УЗИ почек можно сделать с опорожненным мочевым пузырем или при недостаточном наполнении мочевого пузыря. Однако информативность УЗИ почек в этом случае снижается.
Вопрос: Какая подготовка к УЗИ мочевого пузыря? Н.В., г. Баксан.
Ответ: Подготовка к УЗИ мочевого пузыря заключается в приеме 300-400 мл (2 стаканов) несладкой воды или некрепкого чая, кофе за 30 минут до выполнения УЗИ мочевого пузыря.
Вопрос: Какая подготовка к УЗИ почек и мочевого пузыря у МУЖЧИН? А.М., г. Зеленокумск.
Ответ: Подготовка к УЗИ почек и мочевого пузыря у мужчин заключается в следующем: перед выполнением УЗИ почек за 30 минут необходимо выпить 300-400 мл (2 стакана) несладкой воды или некрепкого чая, кофе с целью наполнения мочевого пузыря. Не мочиться!
Вопрос: ХОРОШЕЕ узи почек мужчин в Пятигорске сколько стоит? С.А., Железноводск.
Ответ: Стоимость УЗИ почек – 1500 рублей.
Вопрос: Где сделать УЗИ почек и мочевого пузыря в ВЫХОДНОЙ в Пятигорске?
Ответ: Сделать УЗИ почек и мочевого пузыря в выходные и ПРАЗДНИКИ в Пятигорске можно в Клинике мужского здоровья в Пятигорске по ул. Адмиральского 6 А, телефон 8(800) 500-52-74 (звонок бесплатный) или +7 (928) 022-05-32 (для зарубежных звонков).
Вопрос: Где УЗИ почек в Пятигорске сделать ВЕЧЕРОМ?
Ответ: УЗИ почек вечером в Пятигорске можно сделать на Адмиральского 6 А, тел. 8(800) 500-52-74 (звонок бесплатный) или +7 (928) 022-05-32 (для зарубежных звонков).
УЗИ почек и мочевого пузыря БЕЗ ВЫХОДНЫХ.
Сделать УЗИ почек в праздники, в воскресенье, СУББОТУ можно в Клинике мужского здоровья.
Вопрос: Где узнать цену УЗИ почек и мочевого пузыря в Пятигорске?
Ответ: Узнать стоимость УЗИ почек и мочевого пузыря (УЗИ цена) можно здесь.
Вопрос: По ПОЛИСам каких страховых компаний системы добровольного медицинского страхования можно сделать УЗИ почек и мочевого пузыря в Курортной клиники мужского здоровья?
Ответ: Мы принимаем Застрахованных в «СОГАЗ», «Ингосстрах» по полисам, выданным данными страховыми компаниями. Подробную информацию о том, с какими медицинскими учреждениями работает Ваша страховая компания Вы можете узнать по номеру горячей линии Вашей страховой компании. Если Курортной клиники мужского здоровья в ее списке нет, Вы можете оставить заявку и, возможно, Ваша страховая компания пойдет Вам на встречу, заключит с нами договор, и мы с удовольствием Вас примем.
С уважением, Главный бухгалтер Курортной клиники мужского здоровья.
|
Задать ВОПРОС ОНЛАЙН о УЗИ почек можно по адресу
Данный адрес e-mail защищен от спам-ботов, Вам необходимо включить Javascript для его просмотра.
.
ЗАПИСЬ ОНЛАЙН на УЗИ почек и мочевого пузыря здесь.
ЗАПИСЬ по интернету на УЗИ почек и мочевого пузыря здесь.
Купить КУРСОВКУ по телефону +7 (928) 022-05-32 или здесь.
|
Подразделы
ЗАДАТЬ ВОПРОС
Прежде чем задать вопрос, пожалуйста, прочитайте соответствующую Вашему вопросу статью и ответы на наиболее часто задаваемые вопросы!
ВОПРОСЫ И ОТВЕТЫ ПО ДРУГИМ ТЕМАМ

Комментарии
и полезный сайт.
удачииуспехавам .