УЗИ щитовидной железы в Пятигорске
УЗИ щитовидной железы в Пятигорске БЕЗ ВЫХОДНЫХ в Клинике мужского здоровья.
УЗИ щитовидной железы позволяет изучить структуру самой щитовидной железы и регионарных лимфатических узлов, определить размеры и объем щитовидной железы, особенности кровоснабжения в режимах энергетического ДОППЛЕРа и цветового допплера.
Сделать УЗИ щитовидной железы в Пятигорске в ВОСКРЕСЕНЬЕ, субботу, в ПРАЗДНИКИ и будни, ВЕЧЕРОМ можно в Курортной клинике мужского здоровья.
Клиника мужского здоровья в Пятигорске работает в режиме дежурного медицинского учреждения!
УЗИ щитовидной железы у мужчин, женщин и детей БЕЗ ВЫХОДНЫХ все дни недели.
|
Щитовидная железа, вид спереди

|
Щитовидная железа, вид сзади

|
Сделать УЗИ щитовидной железы и другие виды УЗИ в Курортной клинике мужского здоровья:
УЗИ щитовидной железы мы выполняем на ультразвуковых аппаратах «Zonare» (США), «Acuson» (США).
Обратите внимание на совершенное качество фотографий, свидетельствующих об экспертном классе аппаратов УЗИ!
Использование ультразвуковых аппаратов экспертного класса с режимами энергетического допплера и цветового допплера позволяет врачам Курортной клиники мужского здоровья выявить патологические изменения щитовидной железы на ранних этапах.
Фото щитовидной железы. Аутоиммунный тиреоидит у мужчины 39 лет. Определяется грубая неоднородность эхо-структуры долей щитовидной железы |
 |
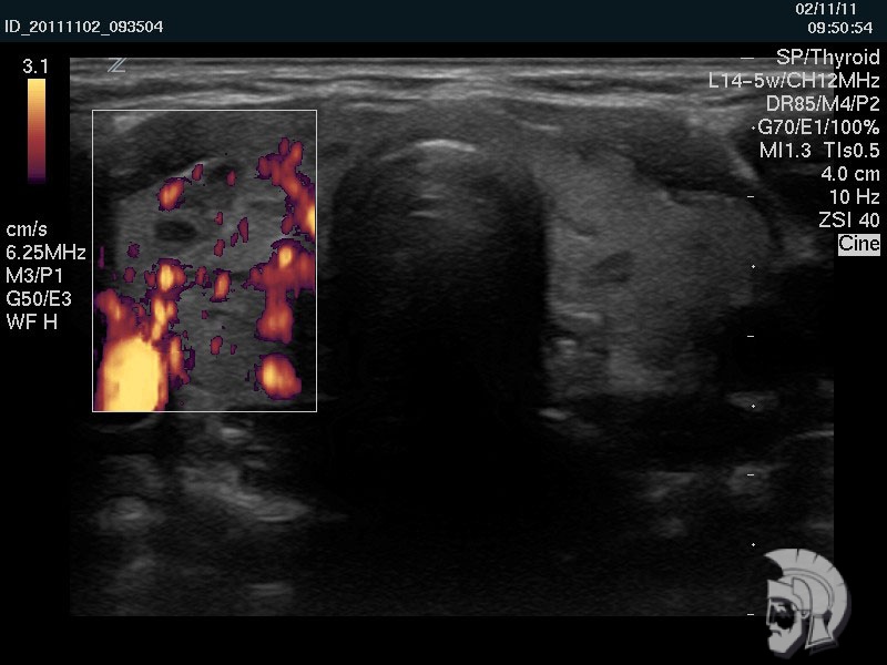
Фото щитовидной железы. Тот же случай. При исследовании в режиме энергетического допплера в правой доле щитовидной железы определяется выраженное усиление кровотока |
 |
Возможность архивирования результатов УЗИ щитовидной железы на различных электронных носителях информации позволяет СОХРАНИТЬ объективные данные для врачей и электронной истории болезни.
Врачи Курортной клиники мужского здоровья имеют длительный ОПЫТ работы, несколько специализаций и способны всесторонне оценить ситуацию.
|
Нам нравится диагностическая работа! Осваивая НОВЫЕ МЕТОДИКИ обследования, мы стремимся к безопасности.
|
В Курортной клинике мужского здоровья с целью соответствия методик ультразвуковых исследований диагностическому уровню мировых лидеров ультразвуковой диагностики каждые 3-6 месяцев производится АПГРЕЙД аппаратов УЗИ.
Подготовка к УЗИ щитовидной железы
Подготовка к узи щитовидной железы НЕ ТРЕБУЕТСЯ.
УЗИ щитовидной железы является современным и безопасным методом исследования.
Рентгеновское облучение при УЗИ щитовидной железы полностью отсутствует.
ПОЭТОМУ УЗИ щитовидной железы применяют для динамического контроля при плановом ежегодном осмотре, на фоне лечения и в послеоперационном периоде.
УЗИ щитовидной железы и других органов можно сделать по направлению врача и по желанию пациента. Количество исследуемых в один день органов НЕ ОГРАНИЧЕНО.
Возможно ПОЛНОЕ ультразвуковое исследования организма за ОДНО посещение, максимально комфортно.
Курортная клиника мужского здоровья работает в системе добровольного медицинского страхования и по платным услугам.
|
Сделать УЗИ щитовидной железы в Пятигорске
понедельник - пятница с 8:00 до 20:00, суббота, воскресенье, праздничные дни с 8:00 до 17:00.
|
Прием по предварительной записи. Мы пунктуальны!
Предварительная запись по телефону 8(800) 500-52-74 (звонок бесплатный) или +7 (928) 022-05-32 (для зарубежных звонков).
|
Задать ВОПРОС ОНЛАЙН о УЗИ щитовидной железы можно по адресу
Данный адрес e-mail защищен от спам-ботов, Вам необходимо включить Javascript для его просмотра.
.
ЗАПИСЬ ОНЛАЙН на УЗИ щитовидной железы здесь.
ЗАПИСЬ по интернету на УЗИ щитовидной железы здесь.
Купить КУРСОВКУ по телефону +7 (928) 022-05-32 или здесь.
|
Вы можете РАССЧИТЫВАТЬ на наш всемерный отклик и ПОДДЕРЖКУ при возникновении любых пожеланий и сомнений.
Фото Клиники
| Фото щитовидной железы. Нормальная щитовидная железа мужчины 35 лет |
 |
| Фото щитовидной железы. Узел в левой доле щитовидной железы у мужчины 43 лет. При исследовании в режиме энергетического допплера определяется перифокальный (вокруг узла) кровоток |
 |
| Фото правостороннего узлового зоба у мужчины 28 лет. Узел в задних отделах правой доли указан стрелками |
 |
| Фото правостороннего узлового зоба. Тот же случай |
 |
Вопросы и ответы
Вопрос: Где сделать УЗИ щитовидной железы в выходные в Пятигорске?
Ответ: Сделать УЗИ щитовидной железы в ВЫХОДНОЙ и праздники в Пятигорске Вы можете в Клинике мужского здоровья по ул. Адмиральского 6 А, телефон 8(800) 500-52-74 (звонок бесплатный) или +7 (928) 022-05-32 (для зарубежных звонков).
Вопрос: Где УЗИ щитовидной железы в Пятигорске сделать вечером?
Ответ: УЗИ щитовидной железы ВЕЧЕРОМ в Пятигорске можно сделать на Адмиральского 6 А, тел. 8(800) 500-52-74 (звонок бесплатный) или +7 (928) 022-05-32 (для зарубежных звонков).
УЗИ щитовидной железы БЕЗ ВЫХОДНЫХ.
Сделать УЗИ щитовидной железы в СУББОТУ, в воскресенье, в праздники в Пятигорске можно у нас.
Вопрос: Где узнать СТОИМОСТЬ УЗИ щитовидной железы в Пятигорске?
Ответ: Стоимость УЗИ щитовидной железы (УЗИ цена) можно узнать здесь.
Вопрос: Какая подготовка к УЗИ щитовидной железы? А.В., г. Баксан.
Ответ: Подготовка к УЗИ щитовидной железы НЕ ТРЕБУЕТСЯ.
Вопрос: ХОРОШЕЕ узи щитовидной железы в Пятигорске сколько стоит? К.Н., Железноводск.
Ответ: Цена УЗИ щитовидной железы – 800 рублей.
Вопрос: По ПОЛИСам каких страховых компаний системы добровольного медицинского страхования выполняют УЗИ щитовидной железы врачи Курортной клиники мужского здоровья?
Ответ: Мы принимаем Застрахованных в «СОГАЗ», «Ингосстрах» по полисам, выданным данными страховыми компаниями. Подробную информацию о том, с какими медицинскими учреждениями работает Ваша страховая компания Вы можете узнать по номеру горячей линии Вашей страховой компании. Если Курортной клиники мужского здоровья в ее списке нет, Вы можете оставить заявку и, возможно, Ваша страховая компания пойдет Вам на встречу, заключит с нами договор, и мы с удовольствием Вас примем.
С уважением, Главный бухгалтер Курортной клиники мужского здоровья.
|
Задать ВОПРОС ОНЛАЙН о УЗИ щитовидной железы можно по адресу
Данный адрес e-mail защищен от спам-ботов, Вам необходимо включить Javascript для его просмотра.
.
ЗАПИСЬ ОНЛАЙН на УЗИ щитовидной железы здесь.
ЗАПИСЬ по интернету на УЗИ щитовидной железы здесь.
Купить КУРСОВКУ по телефону +7 (928) 022-05-32 или здесь.
|
Подразделы
ЗАДАТЬ ВОПРОС
Прежде чем задать вопрос, пожалуйста, прочитайте соответствующую Вашему вопросу статью и ответы на наиболее часто задаваемые вопросы!
ВОПРОСЫ И ОТВЕТЫ ПО ДРУГИМ ТЕМАМ

Комментарии
и полезный сайт.
удачииуспехавам .